Kinésithérapie Scientifique
  • Accueil
  • Numéros
  • Rubriques
  • Nos tarifs
  • Agenda
  • FAQ
  • Contact
Se connecter S'abonner

Pierre Le Hir

Clinique des Lilas (93)
plehir@mac.com
Conflit omo-thoracique en rapport avec un ostéochondrome solitaire (exostose)
Imagerie

Conflit omo-thoracique en rapport avec un ostéochondrome solitaire (exostose)

Pierre Le HirClinique des Lilas (93)
🖂 plehir@mac.com
N°686 - Mai 2026 2 min de lecture
Ostéome ostéoïde intra-articulaire de la tête fémorale
Imagerie

Ostéome ostéoïde intra-articulaire de la tête fémorale

Pierre Le HirClinique des Lilas (93)
🖂 plehir@mac.com
N°685 - Avril 2026 2 min de lecture
Ostéochondromatose synoviale primitive
Imagerie

Ostéochondromatose synoviale primitive

Pierre Le HirClinique des Lilas (93)
🖂 plehir@mac.com
N°684 - Mars 2026 2 min de lecture
Ostéo-arthropathie symphysaire
Imagerie

Ostéo-arthropathie symphysaire

Pierre Le HirClinique des Lilas (93)
🖂 plehir@mac.com
N°683 - Février 2026 2 min de lecture
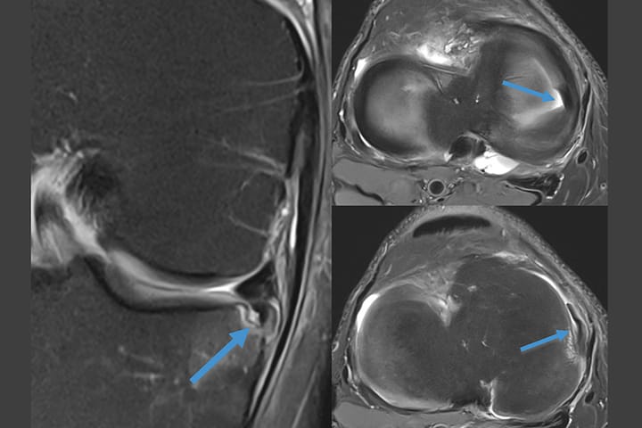
Fissure méniscale avec fragment méniscal déplacé
Imagerie

Fissure méniscale avec fragment méniscal déplacé

Pierre Le HirClinique des Lilas (93)
🖂 plehir@mac.com
N°682 - Janvier 2026 1 min de lecture
Entorse de la syndesmose tibio-fibulaire inférieure
Imagerie

Entorse de la syndesmose tibio-fibulaire inférieure

Pierre Le HirClinique des Lilas (93)
🖂 plehir@mac.com
N°681 - Décembre 2025 2 min de lecture
Spondylodiscite infectieuse
Imagerie

Spondylodiscite infectieuse

Pierre Le HirClinique des Lilas (93)
🖂 plehir@mac.com
N°680 - Novembre 2025 2 min de lecture
Kinésithérapie Scientifique

Le mensuel pratique et technique du kinésithérapeute

  • Conditions générales de vente
  • Politique de confidentialité
  • Mentions légales
  • FAQ
  • Contact
AVERTISSEMENT : Ce site est destiné au corps médical. Les traitements présentés ne reflètent que l'expérience des auteurs au moment où leur article a été publié dans notre journal. La décision thérapeutique ne peut se prendre qu'après un examen clinique. Les techniques publiées ici ne sauraient justifier une quelconque revendication de la part d'un soignant ou d'un soigné.
© 2026 Kinésithérapie Scientifique - Tous droits réservés