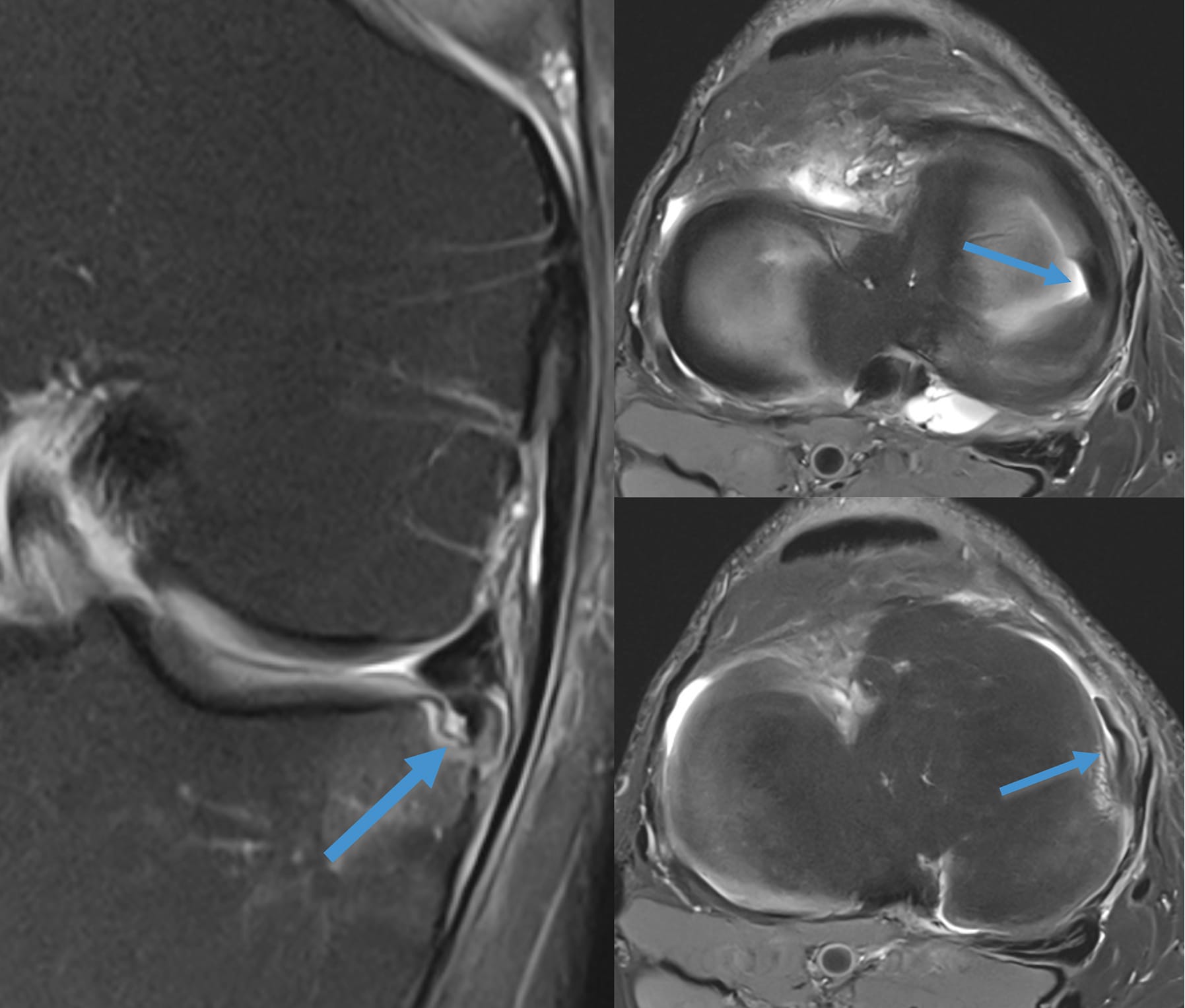
Fissure méniscale avec fragment méniscal déplacé

Figure 1 - Amputation du bord libre de la corne postérieure du ménisque interne en rapport avec le déplacement d’une languette méniscale vers le récessus méniscal inférieur. À ce niveau le plateau tibial est le siège d’une impaction mécanique localisée