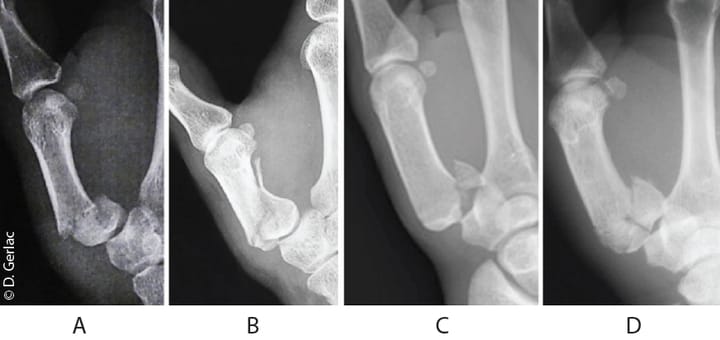
Rééducation Rééducation après fracture du premier métacarpien (Bennett, Rolando) : quel protocole aujourd'hui ?
Gériatrie Dépistage par les kinésithérapeutes de la fragilité motrice par un score fonctionnel chez les personnes de 65 ans et plus, vivant à domicile guide méthodologique et score fonctionnel
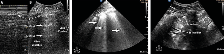
Cardio-respiratoire Monitoring de l'amélioration de l'aération pulmonaire par échographie après kinésithérapie respiratoire chez des patients sous ventilation mécanique